
Стоматолог Варна Владиславово
Телефон: 0894 740 743
Работно време
Неделя
Затворено
Понеделник
-
13:00 ч.–20:00 ч.
Вторник
-
13:00 ч.–20:00 ч.
Сряда
-
13:00 ч.–20:00 ч.
Четвъртък
-
13:00 ч.–20:00 ч.
Петък
-
13:00 ч.–20:00 ч.
Събота
Затворено

За Д-р Добрев
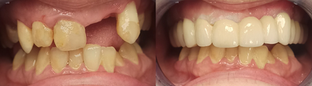
Д-р Добрев е зъболекар във Варна, кв. Владиславово с над 10 години опит и хиляди доволни пациенти. Работи в крак с най-модерните методи за дигитално стоматологично лечение. Занимава се с широк обхват от дентални процедури: хирургия, поставяне на зъбни импланти, екстрахиране (вадене) на ретинирани мъдреци, ендодонтия (кореново лечение), пародонтология (лечение на зъбодържащия апарат), поставяне на коронки и мостове, ортодонтия (алайнери), консервативно зъболечение (директни фасети, бондинг) и хиалуронови филъри.
Образование
2007-2011
Средно образование -
Професионална гимназия по икономика "Д-р Иван Богоров"
2011-2017
Лекар по дентална медицина -
Медицински университет „Проф. д-р Параскев Стоянов“
Курсове
-
Теоретичен и практически курс на д-р Радослав Аспарухов - "Инжекционна композитна техника" 2021
-
Мастер клас - Системно възсановяване при зъбно изтриване, диагностика и възстановяване на горночелюстна дъга 2017
-
Национален форум по дентална медицина "МАДАРСКИ КОННИК" - УС на БЗС и РК на БЗС - Шумен 2018
-
Non-surgical retreartment (без-хиругични възстаноявания) - Dr. Yoshi Terauchi D.D.S PhD 2021
-
Dr. Ivan Vandev - "Comuter-Guided Implantology (Компютърно насочена имплантология)" 2022
-
DC"Dr. Stankov" - "Surgical treatment of infra body defects" 2021
-
Имплантология - от А до Я Протезиране върху импланти - техники на взимане на отпечатък и различни протетични решения. Избор на подходяща надстойка. Оклузия върху импланти. - Доц. Димитър Филчев 2020
-
Практически курс на д-р Пиер Димитров - "Indirect posterior restorations"("Индиректни постериорни възстановявания") 2022
-
Теоретичен и практически курс на д-р Радослав Аспарухов - "Моларно Инцизивна Хипоминерализация (МИХ)" 2022
-
Теоретичен и практически курс на д-р Радослав Аспарухов - "Съвременни алтернативи при директ ни постериорни възстановявания" 2017
-
Теоретичен и практически курс на д-р Радослав Аспарухов - "Технолигията на слас-фибро влакната в стоматологията" 2018
-
Теоретичен курс на д-р Кремена Моллова - "Адхезия в съвременната стоматология: Проблеми и решения" 2016
-
Пети регионален форум по дентална медицина ВАРНА ДЕНТ - РК на БЗС ВАРНА 2018
-
Теоретичен и практически курс на д-р Радослав Аспарухов - "Директни антериорни възстановявания" 2021
-
Национален форум по дентална медицина "МАДАРСКИ КОННИК" - УС на БЗС и РК на БЗС - Шумен 2017
-
Национален форум по дентална медицина "МАДАРСКИ КОННИК" - УС на БЗС и РК на БЗС - Шумен 2019
-
Teoxane Laboratories - "Training on filling techniques with hyaluronic acid injections" 2021
-
Д-р Венцислав Ралев - "Базово ниво на имплантиране без костна пластика" 2021
-
Шести регионален форум по дентална медицина ВАРНА ДЕНТ - РК на БЗС ВАРНА 2019
-
Dr. Emil Sariev - "From root ot crown: Shpaing the canal space with trunatomy" 2019
-
Академия Първа Помощ - "Спешни състояния в денталната практика" 2021
Сертификати



























За връзкa
Често Задавани Въпроси
"Моята работа - Вашата усмивка"






























